View Featured Offers >>
28150
Bcl-2 (F9V5R) Rabbit mAb
Primary Antibodies
Monoclonal Antibody
R
Recombinant

Bcl-2 (F9V5R) Rabbit mAb #28150

Citations (0)
Filter:
  1. WB
  2. IP
Western blot analysis of extracts from various cell lines using Bcl-2 (F9V5R) Rabbit mAb (upper) or GAPDH (D16H11) XP® Rabbit mAb #5174 (lower). Low expression of Bcl-2 protein in C6 and Neuro-2a cells is consistent with the predicted expression pattern.
Western blot analysis of extracts from 293T cells, mock transfected (-) or transfected with a construct expressing Myc/DDK-tagged full-length rat Bcl-2 protein (rBcl-2-Myc/DDK; +), using Bcl-2 (F9V5R) Rabbit mAb (upper), Myc-Tag (71D10) Rabbit mAb #2278 (middle), or GAPDH (D16H11) XP® Rabbit mAb #5174 (lower).
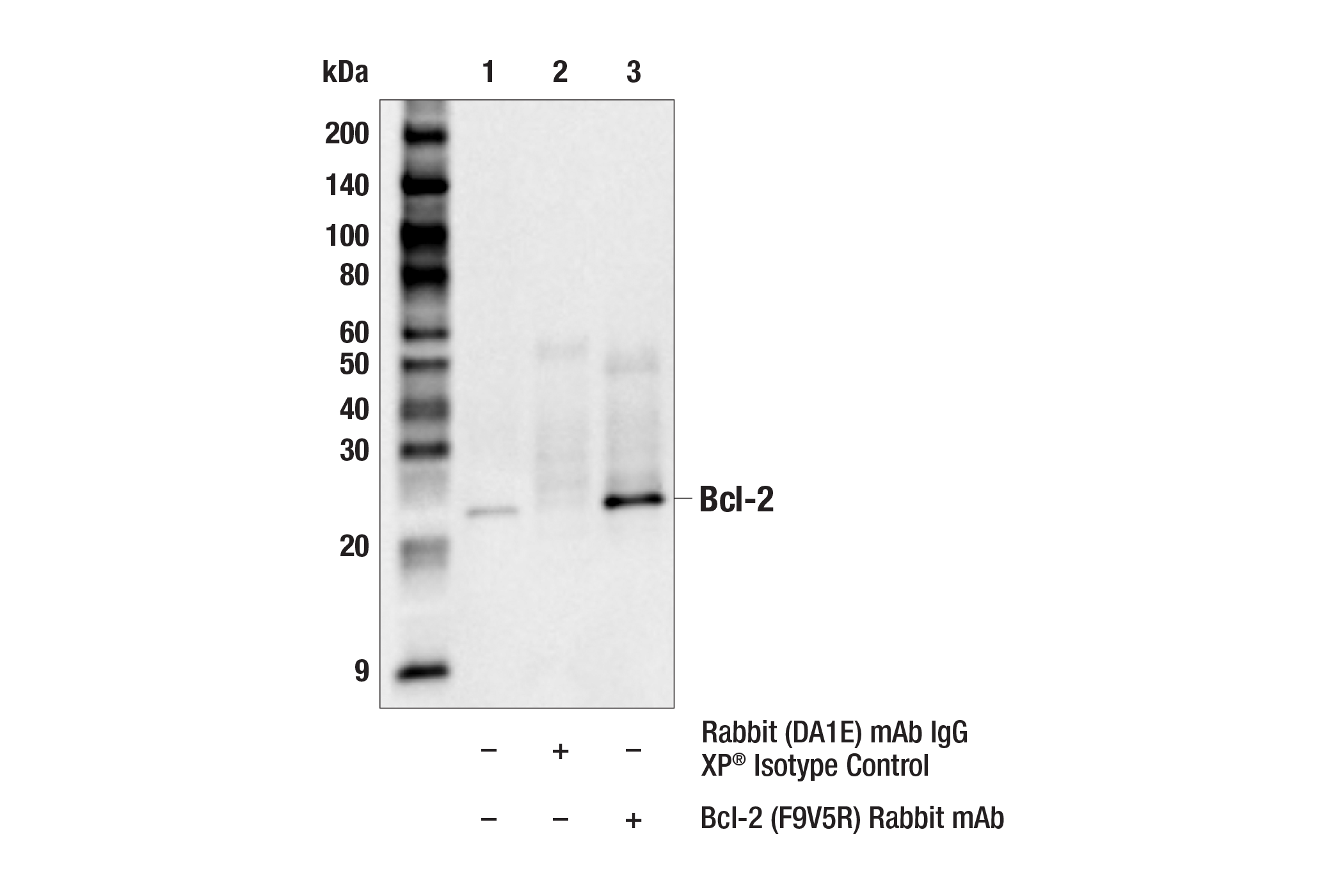
Immunoprecipitation of Bcl-2 protein from RBL-2H3 cell extracts. Lane 1 is 10% input, lane 2 is Rabbit (DA1E) mAb IgG XP® Isotype Control #3900, and lane 3 is Bcl-2 (F9V5R) Rabbit mAb. Western blot analysis was performed using Bcl-2 (F9V5R) Rabbit mAb. Mouse Anti-rabbit IgG (Conformation Specific) (L27A9) mAb (HRP Conjugate) #5127 was used as a secondary antibody.
To Purchase # 28150
Cat. # Size Qty. Price
28150S
100 µl

Supporting Data

REACTIVITY M R
SENSITIVITY Endogenous
MW (kDa) 26
Source/Isotype Rabbit IgG

Application Key:

  • WB-Western Blot
  • IP-Immunoprecipitation
  • IHC-Immunohistochemistry
  • ChIP-Chromatin Immunoprecipitation
  • C&R-CUT&RUN
  • C&T-CUT&Tag
  • DB-Dot Blot
  • eCLIP-eCLIP
  • IF-Immunofluorescence
  • F-Flow Cytometry

Species Cross-Reactivity Key:

  • H-Human
  • M-Mouse
  • R-Rat
  • Hm-Hamster
  • Mk-Monkey
  • Vir-Virus
  • Mi-Mink
  • C-Chicken
  • Dm-D. melanogaster
  • X-Xenopus
  • Z-Zebrafish
  • B-Bovine
  • Dg-Dog
  • Pg-Pig
  • Sc-S. cerevisiae
  • Ce-C. elegans
  • Hr-Horse
  • GP-Guinea Pig
  • Rab-Rabbit
  • All-All Species Expected

Product Usage Information

Application Dilution
Western Blotting 1:1000
Immunoprecipitation 1:100

Storage

Supplied in 10 mM sodium HEPES (pH 7.5), 150 mM NaCl, 100 µg/mL BSA, 50% glycerol, and less than 0.02% sodium azide. Store at –20°C. Do not aliquot the antibody.

Protocol

PRINT

View >Collapse >

Western Blotting Protocol

For western blots, incubate membrane with diluted primary antibody in 5% w/v BSA, 1X TBS, 0.1% Tween® 20 at 4°C with gentle shaking, overnight.

NOTE: Please refer to primary antibody product webpage for recommended antibody dilution.

A. Solutions and Reagents

From sample preparation to detection, the reagents you need for your Western Blot are now in one convenient kit: #12957 Western Blotting Application Solutions Kit

NOTE: Prepare solutions with reverse osmosis deionized (RODI) or equivalent grade water.

  1. 20X Phosphate Buffered Saline (PBS): (#9808) To prepare 1 L 1X PBS: add 50 ml 20X PBS to 950 ml dH2O, mix.
  2. 10X Tris Buffered Saline (TBS): (#12498) To prepare 1 L 1X TBS: add 100 ml 10X to 900 ml dH2O, mix.
  3. 1X SDS Sample Buffer: Blue Loading Pack (#7722) or Red Loading Pack (#7723) Prepare fresh 3X reducing loading buffer by adding 1/10 volume 30X DTT to 1 volume of 3X SDS loading buffer. Dilute to 1X with dH2O.
  4. 10X Tris-Glycine SDS Running Buffer: (#4050) To prepare 1 L 1X running buffer: add 100 ml 10X running buffer to 900 ml dH2O, mix.
  5. 10X Tris-Glycine Transfer Buffer: (#12539) To prepare 1 L 1X Transfer Buffer: add 100 ml 10X Transfer Buffer to 200 ml methanol + 700 ml dH2O, mix.
  6. 10X Tris Buffered Saline with Tween® 20 (TBST): (#9997) To prepare 1 L 1X TBST: add 100 ml 10X TBST to 900 ml dH2O, mix.
  7. Nonfat Dry Milk: (#9999).
  8. Blocking Buffer: 1X TBST with 5% w/v nonfat dry milk; for 150 ml, add 7.5 g nonfat dry milk to 150 ml 1X TBST and mix well.
  9. Wash Buffer: (#9997) 1X TBST.
  10. Bovine Serum Albumin (BSA): (#9998).
  11. Primary Antibody Dilution Buffer: 1X TBST with 5% BSA; for 20 ml, add 1.0 g BSA to 20 ml 1X TBST and mix well.
  12. Biotinylated Protein Ladder Detection Pack: (#7727).
  13. Blue Prestained Protein Marker, Broad Range (11-250 kDa): (#59329).
  14. Blotting Membrane and Paper: (#12369) This protocol has been optimized for nitrocellulose membranes. Pore size 0.2 µm is generally recommended.
  15. Secondary Antibody Conjugated to HRP: Anti-rabbit IgG, HRP-linked Antibody (#7074).
  16. Detection Reagent: SignalFire™ ECL Reagent (#6883).

B. Protein Blotting

A general protocol for sample preparation.

  1. Treat cells by adding fresh media containing regulator for desired time.
  2. Aspirate media from cultures; wash cells with 1X PBS; aspirate.
  3. Lyse cells by adding 1X SDS sample buffer (100 µl per well of 6-well plate or 500 µl for a 10 cm diameter plate). Immediately scrape the cells off the plate and transfer the extract to a microcentrifuge tube. Keep on ice.
  4. Sonicate for 10–15 sec to complete cell lysis and shear DNA (to reduce sample viscosity).
  5. Heat a 20 µl sample to 95–100°C for 5 min; cool on ice.
  6. Microcentrifuge for 5 min.
  7. Load 20 µl onto SDS-PAGE gel (10 cm x 10 cm).

    NOTE: Loading of prestained molecular weight markers (#59329, 10 µl/lane) to verify electrotransfer and biotinylated protein ladder (#7727, 10 µl/lane) to determine molecular weights are recommended.

  8. Electrotransfer to nitrocellulose membrane (#12369).

C. Membrane Blocking and Antibody Incubations

NOTE: Volumes are for 10 cm x 10 cm (100 cm2) of membrane; for different sized membranes, adjust volumes accordingly.

I. Membrane Blocking

  1. (Optional) After transfer, wash nitrocellulose membrane with 25 ml TBS for 5 min at room temperature.
  2. Incubate membrane in 25 ml of blocking buffer for 1 hr at room temperature.
  3. Wash three times for 5 min each with 15 ml of TBST.

II. Primary Antibody Incubation

  1. Incubate membrane and primary antibody (at the appropriate dilution and diluent as recommended in the product webpage) in 10 ml primary antibody dilution buffer with gentle agitation overnight at 4°C.
  2. Wash three times for 5 min each with 15 ml of TBST.
  3. Incubate membrane with Anti-rabbit IgG, HRP-linked Antibody (#7074 at 1:2000) and anti-biotin, HRP-linked Antibody (#7075 at 1:1000–1:3000) to detect biotinylated protein markers in 10 ml of blocking buffer with gentle agitation for 1 hr at room temperature.
  4. Wash three times for 5 min each with 15 ml of TBST.
  5. Proceed with detection (Section D).

D. Detection of Proteins

Directions for Use:

  1. Wash membrane-bound HRP (antibody conjugate) three times for 5 minutes in TBST.
  2. Prepare 1X SignalFire™ ECL Reagent (#6883) by diluting one part 2X Reagent A and one part 2X Reagent B (e.g. for 10 ml, add 5 ml Reagent A and 5 ml Reagent B). Mix well.
  3. Incubate substrate with membrane for 1 minute, remove excess solution (membrane remains wet), wrap in plastic and expose to X-ray film.

* Avoid repeated exposure to skin.

posted June 2005

revised June 2020

Protocol Id: 10

Immunoprecipitation for Native Proteins

This protocol is intended for immunoprecipitation of native proteins for analysis by western immunoblot or kinase activity utilizing Protein A magnetic separation.

A. Solutions and Reagents

NOTE: Prepare solutions with reverse osmosis deionized (RODI) or equivalent grade water.

  1. 20X Phosphate Buffered Saline (PBS): (#9808) To prepare 1 L of 1X PBS, add 50 ml 20X PBS to 950 ml dH2O, mix.
  2. 10X Cell Lysis Buffer: (#9803) To prepare 10 ml of 1X cell lysis buffer, add 1 ml cell lysis buffer to 9 ml dH2O, mix.

    NOTE: Add 1 mM PMSF (#8553) immediately prior to use.

  3. 3X SDS Sample Buffer: Blue Loading Pack (#7722) or Red Loading Pack (#7723) Prepare fresh 3X reducing loading buffer by adding 1/10 volume 30X DTT to 1 volume of 3X SDS loading buffer.
  4. Protein A Magnetic Beads: (#73778).
  5. Magnetic Separation Rack: (#7017) or (#14654).
  6. 10X Kinase Buffer (for kinase assays): (#9802) To Prepare 1 ml of 1X kinase buffer, add 100 µl 10X kinase buffer to 900 µl dH2O, mix.
  7. ATP (10 mM) (for kinase assays): (#9804) To prepare 0.5 ml of ATP (200 µM), add 10 µl ATP (10 mM) to 490 µl 1X kinase buffer.

B. Preparing Cell Lysates

  1. Aspirate media. Treat cells by adding fresh media containing regulator for desired time.
  2. To harvest cells under nondenaturing conditions, remove media and rinse cells once with ice-cold 1X PBS.
  3. Remove PBS and add 0.5 ml ice-cold 1X cell lysis buffer to each plate (10 cm) and incubate on ice for 5 min.
  4. Scrape cells off the plate and transfer to microcentrifuge tubes. Keep on ice.
  5. Sonicate on ice three times for 5 sec each.
  6. Microcentrifuge for 10 min at 4°C, 14,000 x g and transfer the supernatant to a new tube. The supernatant is the cell lysate. If necessary, lysate can be stored at -80°C.

C. Immunoprecipitation

Cell Lysate Pre-Clearing (Optional)

A cell lysate pre-clearing step is highly recommended to reduce non-specific protein binding to the Protein A Magnetic beads. Pre-clear enough lysate for test samples and isotype controls.

  1. Briefly vortex the stock tube to resuspend the magnetic beads.

    IMPORTANT: Pre-wash #73778 magnetic beads just prior to use:

  2. Transfer 20 μl of bead slurry to a clean tube. Place the tube in a magnetic separation rack for 10-15 seconds.

    Carefully remove the buffer once the solution is clear. Add 500 μl of 1X cell lysis buffer to the magnetic bead pellet, briefly vortex to wash the beads. Place tube back in magnetic separation rack. Remove buffer once solution is clear. Repeat washing step once more.

  3. Add 200 μl cell lysate to 20 μl of pre-washed magnetic beads.

    IMPORTANT: The optimal lysate concentration will depend on the expression level of the protein of interest. A starting concentration between 250 μg/ml-1.0 mg/ml is recommended.

  4. Incubate with rotation for 20 minutes at room temperature.
  5. Separate the beads from the lysate using a magnetic separation rack, transfer the pre-cleared lysate to a clean tube, and discard the magnetic bead pellet.
  6. Proceed to immunoprecipitation section.

Immunoprecipitation

IMPORTANT: Appropriate isotype controls are highly recommended in order to show specific binding in your primary antibody immunoprecipitation. Use Normal Rabbit IgG #2729 for rabbit polyclonal primary antibodies, Rabbit (DA1E) mAb IgG XP® Isotype Control #3900 for rabbit monoclonal primary antibodies, Mouse (G3A1) mAb IgG1 Isotype Control #5415 for mouse monoclonal IgG1 primary antibodies, Mouse (E5Y6Q) mAb IgG2a Isotype Control #61656 for mouse monoclonal IgG2a primary antibodies, Mouse (E7Q5L) mAb IgG2b Isotype Control #53484 for mouse monoclonal IgG2b primary antibodies, and Mouse (E1D5H) mAb IgG3 Isotype Control #37988 for mouse monoclonal IgG3 primary antibodies. Isotype controls should be concentration matched and run alongside the primary antibody samples.

  1. Add primary antibody (at the appropriate dilution as recommended in the product datasheet) to 200 µl cell lysate. Incubate with rotation overnight at 4°C. to form the immunocomplex.
  2. Pre-wash magnetic beads (see Cell Lysate Pre-Clearing section, steps 1 and 2).
  3. Transfer the lysate and antibody (immunocomplex) solution to the tube containing the pre-washed magnetic bead pellet.
  4. Incubate with rotation for 20 min at room temperature.
  5. Pellet beads using magnetic separation rack. Wash pellets five times with 500 μl of 1X cell lysis buffer. Keep on ice between washes.
  6. Proceed to analyze by western immunoblotting or kinase activity (section D).

D. Sample Analysis

Proceed to one of the following specific set of steps.

For Analysis by Western Immunoblotting

  1. Resuspend the pellet with 20-40 µl 3X SDS sample buffer, briefly vortex to mix, and briefly microcentrifuge to pellet the sample.
  2. Heat the sample to 95-100°C for 5 min.
  3. Pellet beads using magnetic separation rack. Transfer the supernatant to a new tube. The supernatant is the sample.
  4. Analyze sample by western blot (see Western Immunoblotting Protocol).

NOTE: To minimize masking caused by denatured IgG heavy chains (~50 kDa), we recommend using Mouse Anti-Rabbit IgG (Light-Chain Specific) (D4W3E) mAb (#45262) or Mouse Anti-Rabbit IgG (Conformation Specific) (L27A9) mAb (#3678) (or HRP conjugate #5127). To minimize masking caused by denatured IgG light chains (~25 kDa), we recommend using Mouse Anti-Rabbit IgG (Conformation Specific) (L27A9) mAb (#3678) (or HRP conjugate #5127).

For Analysis by Kinase Assay

  1. Wash pellet twice with 500 µl 1X kinase buffer. Keep on ice.
  2. Suspend pellet in 40 µl 1X kinase buffer supplemented with 200 µM ATP and appropriate substrate.
  3. Incubate for 30 min at 30°C.
  4. Terminate reaction with 20 µl 3X SDS sample buffer. Vortex, then microcentrifuge for 30 sec.
  5. Transfer supernatant containing phosphorylated substrate to another tube.
  6. Heat the sample to 95-100°C for 2-5 min and microcentrifuge for 1 min at 14,000 x g.
  7. Load the sample (15-30 µl) on SDS-PAGE gel.

posted December 2008

revised April 2021

Protocol Id: 410

Specificity / Sensitivity

Bcl-2 (F9V5R) Rabbit mAb recognizes endogenous levels of total Bcl-2 protein.

Species Reactivity:

Mouse, Rat

Source / Purification

Monoclonal antibody is produced by immunizing animals with a synthetic peptide corresponding to residues surrounding Ser50 of rat Bcl-2 protein.

Background

Bcl-2 exerts a survival function in response to a wide range of apoptotic stimuli through inhibition of mitochondrial cytochrome c release (1). It has been implicated in modulating mitochondrial calcium homeostasis and proton flux (2). Several phosphorylation sites have been identified within Bcl-2, including Thr56, Ser70, Thr74, and Ser87 (3). It has been suggested that these phosphorylation sites may be targets of the ASK1/MKK7/JNK1 pathway and that phosphorylation of Bcl-2 may be a marker for mitotic events (4,5). Mutation of Bcl-2 at Thr56 or Ser87 inhibits its anti-apoptotic activity during glucocorticoid-induced apoptosis of T lymphocytes (6). Interleukin-3 and JNK-induced Bcl-2 phosphorylation at Ser70 may be required for its enhanced anti-apoptotic functions (7).

Limited Uses

Except as otherwise expressly agreed in a writing signed by a legally authorized representative of CST, the following terms apply to Products provided by CST, its affiliates or its distributors. Any Customer's terms and conditions that are in addition to, or different from, those contained herein, unless separately accepted in writing by a legally authorized representative of CST, are rejected and are of no force or effect.

Products are labeled with For Research Use Only or a similar labeling statement and have not been approved, cleared, or licensed by the FDA or other regulatory foreign or domestic entity, for any purpose. Customer shall not use any Product for any diagnostic or therapeutic purpose, or otherwise in any manner that conflicts with its labeling statement. Products sold or licensed by CST are provided for Customer as the end-user and solely for research and development uses. Any use of Product for diagnostic, prophylactic or therapeutic purposes, or any purchase of Product for resale (alone or as a component) or other commercial purpose, requires a separate license from CST. Customer shall (a) not sell, license, loan, donate or otherwise transfer or make available any Product to any third party, whether alone or in combination with other materials, or use the Products to manufacture any commercial products, (b) not copy, modify, reverse engineer, decompile, disassemble or otherwise attempt to discover the underlying structure or technology of the Products, or use the Products for the purpose of developing any products or services that would compete with CST products or services, (c) not alter or remove from the Products any trademarks, trade names, logos, patent or copyright notices or markings, (d) use the Products solely in accordance with CST Product Terms of Sale and any applicable documentation, and (e) comply with any license, terms of service or similar agreement with respect to any third party products or services used by Customer in connection with the Products.

For Research Use Only. Not for Use in Diagnostic Procedures.
Cell Signaling Technology is a trademark of Cell Signaling Technology, Inc.
All other trademarks are the property of their respective owners. Visit our Trademark Information page.