View Featured Offers >>
49074
c-Myb (D1B9E) Rabbit mAb (BSA and Azide Free)
Primary Antibodies
Monoclonal Antibody
R
Recombinant

c-Myb (D1B9E) Rabbit mAb (BSA and Azide Free) #49074

Citations (0)
Filter:
  1. WB
  2. IHC
  3. F
Western blot analysis of extracts from various cell lines using c-Myb (D1B9E) Rabbit mAb (upper) and GAPDH, #5145 (lower). As expected, COLO 201 and HeLa cells are low or negative for c-Myb expression. Data were generated using the standard formulation of this product.
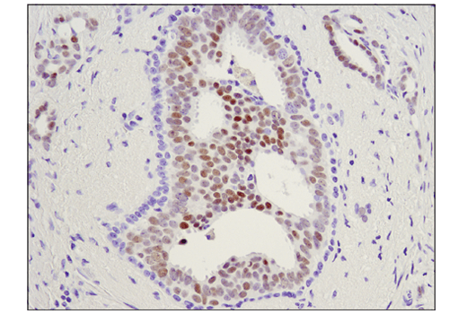
Immunohistochemical analysis of paraffin-embedded human ductal carcinoma of the breast using c-Myb (D1B9E) Rabbit mAb. Data were generated using the standard formulation of this product.
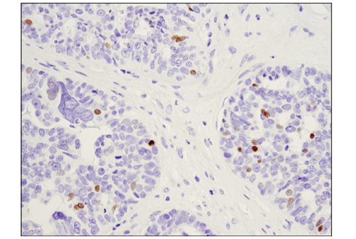
Immunohistochemical analysis of paraffin-embedded human serous papillary carcinoma of the ovary using c-Myb (D1B9E) Rabbit mAb. Data were generated using the standard formulation of this product.
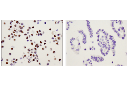
Immunohistochemical analysis of paraffin-embedded HCT-8 cell pellet (left, positive) and COLO 201 cell pellet (right, negative) using c-Myb (D1B9E) Rabbit mAb. Data were generated using the standard formulation of this product.
Flow cytometric analysis of 293T cells (blue) and Jurkat cells (green) using c-Myb (D1B9E) Rabbit mAb (solid lines) or a concentration-matched Rabbit (DA1E) mAb IgG XP® Isotype Control #3900 (dashed lines). Anti-rabbit IgG (H+L) F(ab')2 Fragment (Alexa Fluor® 488 Conjugate) #4412 was used as a secondary antibody. Data were generated using the standard formulation of this product.
To Purchase # 49074
Cat. # Size Qty. Price
49074SF
100 µg

Supporting Data

REACTIVITY H
SENSITIVITY Endogenous
MW (kDa) 80
Source/Isotype Rabbit IgG

Application Key:

  • WB-Western Blot
  • IP-Immunoprecipitation
  • IHC-Immunohistochemistry
  • ChIP-Chromatin Immunoprecipitation
  • C&R-CUT&RUN
  • C&T-CUT&Tag
  • DB-Dot Blot
  • eCLIP-eCLIP
  • IF-Immunofluorescence
  • F-Flow Cytometry

Species Cross-Reactivity Key:

  • H-Human
  • M-Mouse
  • R-Rat
  • Hm-Hamster
  • Mk-Monkey
  • Vir-Virus
  • Mi-Mink
  • C-Chicken
  • Dm-D. melanogaster
  • X-Xenopus
  • Z-Zebrafish
  • B-Bovine
  • Dg-Dog
  • Pg-Pig
  • Sc-S. cerevisiae
  • Ce-C. elegans
  • Hr-Horse
  • GP-Guinea Pig
  • Rab-Rabbit
  • All-All Species Expected

Product Usage Information

This product is the carrier free version of product #59995. All data were generated using the same antibody clone in the standard formulation which contains BSA and glycerol.

This formulation is ideal for use with technologies requiring specialized or custom antibody labeling, including fluorophores, metals, lanthanides, and oligonucleotides. It is not recommended for ChIP, ChIP-seq, CUT&RUN or CUT&Tag assays. If you require a carrier free formulation for chromatin profiling, please contact us. Optimal dilutions/concentrations should be determined by the end user.

BSA and Azide Free antibodies are quality control tested by size exclusion chromatography (SEC) to determine antibody integrity.

Formulation

Supplied in 1X PBS (10 mM Na2HPO4, 3 mM KCl, 2 mM KH2PO4, and 140 mM NaCl (pH 7.8)). BSA and Azide Free.

For standard formulation of this product see product #59995

Storage

Store at -20°C. This product will freeze at -20°C so it is recommended to aliquot into single-use vials to avoid multiple freeze/thaw cycles. A slight precipitate may be present and can be dissolved by gently vortexing. This will not interfere with antibody performance.

Specificity / Sensitivity

c-Myb (D1B9E) Rabbit mAb (BSA and Azide Free) recognizes endogenous levels of total c-Myb protein.

Species Reactivity:

Human

Source / Purification

Monoclonal antibody is produced by immunizing animals with recombinant protein specific to the carboxy terminus of human c-Myb protein.

Background

c-Myb is a transcriptional activator that specifically recognizes the sequence 5'-YAAC[GT]G-3'. It is expressed in hematopoietic progenitor cells where it plays an important role in the control of proliferation and differentiation (1-3). c-Myb is required for transcription of genes involved in self-renewal of intestinal stem cells. Importantly, c-Myb regulates expression of Lgr5, a protein expressed in putative intestinal stem cells that give rise to all cell lineages of small intestinal crypts (4). c-Myb is reported to be expressed in colon crypt cells and in human colorectal cancer lines (5,6). Research has shown that c-Myb gene translocations and copy number alterations are found in several leukemias, breast cancer, and other solid tumors (7,8).

Limited Uses

Except as otherwise expressly agreed in a writing signed by a legally authorized representative of CST, the following terms apply to Products provided by CST, its affiliates or its distributors. Any Customer's terms and conditions that are in addition to, or different from, those contained herein, unless separately accepted in writing by a legally authorized representative of CST, are rejected and are of no force or effect.

Products are labeled with For Research Use Only or a similar labeling statement and have not been approved, cleared, or licensed by the FDA or other regulatory foreign or domestic entity, for any purpose. Customer shall not use any Product for any diagnostic or therapeutic purpose, or otherwise in any manner that conflicts with its labeling statement. Products sold or licensed by CST are provided for Customer as the end-user and solely for research and development uses. Any use of Product for diagnostic, prophylactic or therapeutic purposes, or any purchase of Product for resale (alone or as a component) or other commercial purpose, requires a separate license from CST. Customer shall (a) not sell, license, loan, donate or otherwise transfer or make available any Product to any third party, whether alone or in combination with other materials, or use the Products to manufacture any commercial products, (b) not copy, modify, reverse engineer, decompile, disassemble or otherwise attempt to discover the underlying structure or technology of the Products, or use the Products for the purpose of developing any products or services that would compete with CST products or services, (c) not alter or remove from the Products any trademarks, trade names, logos, patent or copyright notices or markings, (d) use the Products solely in accordance with CST Product Terms of Sale and any applicable documentation, and (e) comply with any license, terms of service or similar agreement with respect to any third party products or services used by Customer in connection with the Products.

For Research Use Only. Not for Use in Diagnostic Procedures.
Cell Signaling Technology is a trademark of Cell Signaling Technology, Inc.
All other trademarks are the property of their respective owners. Visit our Trademark Information page.